HUs da UFC são as únicas instituições públicas no Ceará a realizarem ultrassonografia 4D
- Quinta, 11 Julho 2013 10:12
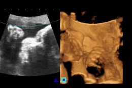
Os Hospitais Universitários da UFC – Hospital Walter Cantídio (HUWC) e Maternidade-Escola Assis Chateaubriand (MEAC) – estão disponibilizando, aos pacientes do Sistema Único de Saúde (SUS), a realização de exames de ultrassonografia 4D. Com a aquisição, no final do ano passado, de dois aparelhos ultrassom com doppler em 4 dimensões, as unidades de saúde são as únicas instituições públicas do Estado a efetuar, gratuitamente, esse tipo de procedimento.
O serviço de exames é realizado diariamente, através do encaminhamento de pacientes feito pelo Ambulatório de Medicina Fetal da MEAC, pela Central de Marcação do Município, ou com pacientes internados no HUWC. São dois aparelhos: um instalado na MEAC, no setor de Avaliação Fetal (1º andar), e outro no HUWC, no setor de Radiologia. Geane Teixeira, hoje no sétimo mês de gravidez, foi umas das primeiras pacientes a passar pelo exame. De acordo com a gestante, ver detalhadamente seu filho, ainda no útero, foi uma experiência emocionante. "É bom saber que, aqui no Estado, conseguimos fazer esse exame gratuitamente, já que na rede privada ele custa, em média, R$ 400,00", afirma.
Os equipamentos, incorporados ao parque tecnológico de monitoramento e diagnóstico dos procedimentos médicos dos HUs, foram adquiridos com recursos do Programa Nacional de Reestruturação dos Hospitais Universitários Federais (Rehuf), superando o valor de R$ 130 mil reais. Como explica o Diretor Clínico da MEAC, Prof. Edson Lucena, a ultrassonografia 4D apresenta vantagens ao oferecer novos recursos na análise fetal. "A capacidade de reconstrução da imagem pelos modos 'Superfície e transparência', 'Análise multiplanar' e 'Rotação da imagem' possibilitaram a melhor avaliação da anatomia e morfologia fetal", comenta.
Ainda segundo Lucena, enquanto a ultrassom 3D permite a avaliação da anatomia fetal de maneira estática, a 4D a avalia em tempo real, possibilitando a observação dos movimentos. O impacto dos novos equipamentos para o serviço de Ginecologia da MEAC é ainda mais relevante quando observadas a prática clínica e a pesquisa das malformações, sem a necessidade de realização de procedimentos invasivos. "É difícil imaginar um problema em Ginecologia e Obstetrícia do qual a ultrassonografia não contribua para a solução", aponta.
Fonte: Divisão de Imprensa e Marketing do Complexo Hospitalar da UFC – fone: 85 3366 8183 / e-mail: Este endereço de email está sendo protegido de spambots. Você precisa do JavaScript ativado para vê-lo.







