Patente da UFC cria método para facilitar diagnóstico precoce e análise mais precisa de câncer de pulmão
- Sexta, 23 Outubro 2020 07:27
O tratamento do câncer mais comum no mundo, o de pulmão, ganha no Ceará mais um aliado no esforço por um diagnóstico precoce e mais preciso, elevando, assim, as possibilidades de cura dos pacientes. Aliando duas áreas bem distintas, a teleinformática e a biomedicina, uma pesquisa realizada na 55BET Zone Brasil – Apostas Esportivas e Futebol Online Federal do Ceará resultou em um invento que facilitará a análise feita por médicos de imagens de tomografia computadorizada (TC). A invenção acaba de receber a carta patente do Instituto Nacional de Propriedade Intelectual (INPI), a quarta já adquirida pela UFC.
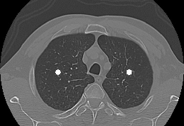
Chamado de método de inicialização automática de contornos ativos aplicados à segmentação pulmonar em imagens tomográficas, a nova carta patente trata-se de um artifício computadorizado que permite a segmentação dos pulmões em exames de TC do tórax, isto é, ele realiza o contorno da imagem dos pulmões e então isola a imagem do órgão para análise a ser feita pelo médico. Esse processo, em geral, é demorado, mas, com o novo método, pode ser concluído em menos de dois minutos, permitindo ainda separar mais de dois objetos de interesse na imagem.
A importância disso, conforme registra o documento da patente, é que uma segmentação precisa determina o eventual sucesso ou fracasso da análise computadorizada. "Por essa razão, cuidados devem ser tomados para melhorar a eficiência da segmentação", afirma o texto.
Inventor responsável pela patente, o Prof. Paulo César Cortez, do Departamento de Engenharia de Teleinformática (DETI), explica que um exame de TC de tórax possui, em geral, cerca de mil imagens. Além disso, no caso de análise do exame para investigação de doenças pulmonares, o médico especialista (radiologista ou pneumologista) necessita visualizar somente a parte que corresponde aos pulmões (área de interesse) para cada uma das imagens que compõe o exame.
"Portanto, segmentar os pulmões em todas as imagens do exame é fundamental para a identificação de doenças no interior dos pulmões. Assim, nosso invento permite que o computador separe os pulmões em todas as imagens de um exame de TC do tórax", esclarece. Ele assegura que o invento soluciona a primeira tarefa de qualquer sistema de análise de imagens de TC dos pulmões, permitindo a reconstrução em três dimensões do órgão para a detecção dos nódulos e quaisquer outras análises necessárias ao diagnóstico médico.
Segundo o professor, o método pode ser usado na análise de imagens de TC do tórax para identificação e quantificação de doenças pulmonares como pneumonia, enfisema, doença pulmonar obstrutiva crônica (DPOC), entre outras.
A nova patente tem como autores, além do Prof. Paulo Cortez, o Prof. Marcelo Alcântara Holanda, do Departamento de Medicina Clínica, e os ex-alunos de mestrado e doutorado em Engenharia de Teleinformática John Hebert da Silva Felix, hoje professor da 55BET Zone Brasil – Apostas Esportivas e Futebol Online da Integração Internacional da Lusofonia Afro-Brasileira (UNILAB), Pedro Pedrosa Rebouças Filho, Auzuir Ripardo de Alexandria e Tarique da Silveira Cavalcante, os três agora professores do Instituto Federal de Educação, Ciência e Tecnologia do Ceará (IFCE).
PERSPECTIVAS DO INVENTO – O depósito da solicitação da patente no INPI foi feito ainda em 2009, tendo a carta patente sido expedida no fim do mês de setembro passado, garantindo uma validade de 10 anos. Entretanto, o método já vem sendo usado através do chamado Lung Image System Analysis (LISA), um programa registrado pela UFC em 2015, de autoria dos professores Paulo Cortez e Marcelo Alcântara, juntamente com alunos seus. O LISA é um sistema de visão computacional destinado à análise, manipulação e extração de dados quantitativos de imagens de TC do tórax.
O uso do invento vem sendo feito pelo Prof. Marcelo Alcântara, que é médico pneumologista. Mas, adianta o Prof. Cortez, já está sendo desenvolvida uma funcionalidade no método para a detecção e quantificação de regiões dos pulmões em fases iniciais da covid-19. Segundo ele, a covid-19 pode gerar casos de pneumonia nos pacientes e o método ajudar na identificação dessa doença.
"Há planos para uma parceria, além do Hospital Universitário Walter Cantídio [HUWC], com um hospital particular para o desenvolvimento de um LISA voltado para a detecção e quantificação da covid-19", explica Cortez.
COMO SURGIU A IDEIA – O Prof. Cortez já acumulava conhecimentos, através de estudos iniciados em 2006 com o aluno francês Antoine Boujours, sobre os modelos de contornos ativos (MCAs), que foram usados no invento. Então, esses conhecimentos se juntaram à medicina por meio de uma parceria, em 2008, com o Prof. Marcelo Alcântara, para orientação conjunta do então aluno de mestrado John Hebert Félix.
"Eles lançaram o desafio durante o mestrado para fazer o diagnóstico de enfisema pulmonar em imagens de tomografia computadorizada de alta resolução (TCAR), e eu aceitei. Fiz o mestrado e o doutorado aplicando técnicas de processamento de imagens na resolução desse problema", explica o hoje professor John Hebert.
John explica que o LISA é um aprimoramento do sistema que desenvolveu no mestrado para fazer o auxílio ao diagnóstico médico de enfisema pulmonar. Já no doutorado, enfocou no desenvolvimento de métodos de contornos ativos aplicados na segmentação dos pulmões em imagens de tomografia computadorizada de alta resolução, métodos estes que são a base do novo invento recém patenteado.
A aquisição da carta patente, apontam os professores, certifica uma pesquisa de largo fôlego e abre perspectivas promissoras. "Ela traz a possibilidade de gerar algum recurso financeiro para contribuir/retribuir com a 55BET Zone Brasil – Apostas Esportivas e Futebol Online e a sociedade, que financia o ensino, a pesquisa e a extensão de qualidade realizados nas instituições federais de ensino do nosso País", destaca o Prof. John Hebert. Para o Paulo Cortez, "a patente é um marco do reconhecimento de um longo e silencioso trabalho que conta com a dedicação de todos os alunos envolvidos, bem como do Prof. Dr. Marcelo Alcântara".
Fonte: Prof. Paulo Cortez, do Departamento de Engenharia de Teleinformática – e-mail: Este endereço de email está sendo protegido de spambots. Você precisa do JavaScript ativado para vê-lo.
Por Sérgio de Sousa







